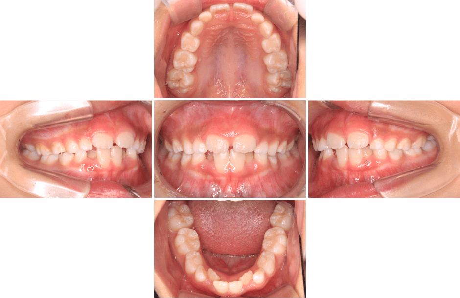
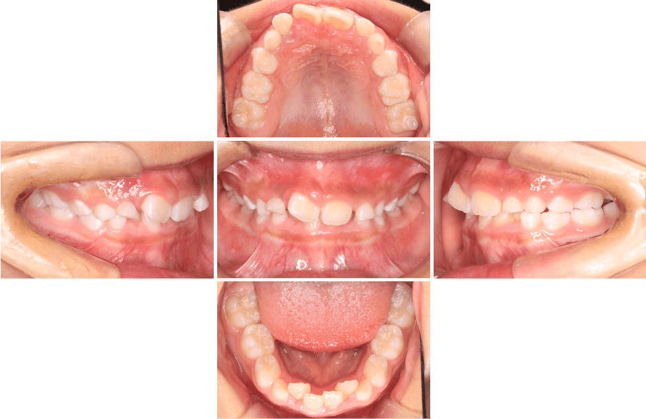
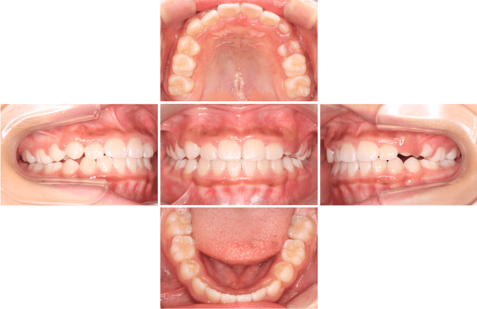
症例
症例①
Before

After

| 主訴 | 下の歯がガタガタしている 口がずっと開いている |
|---|---|
| 治療内容 | マイオブレース 筋機能アクティビティ |
| 年齢 | 7歳7ヶ月 |
| 治療期間、回数 | 2年6ヶ月 25回 |
| 費用 | 約495,000円(税込) |
| リスク、副作用 | お子さんが正しくマウスピースを装着できなかったり、癖を治すアクティビティを行わないと、ほとんど効果が出ない |
| 担当医 | 石川 健 |
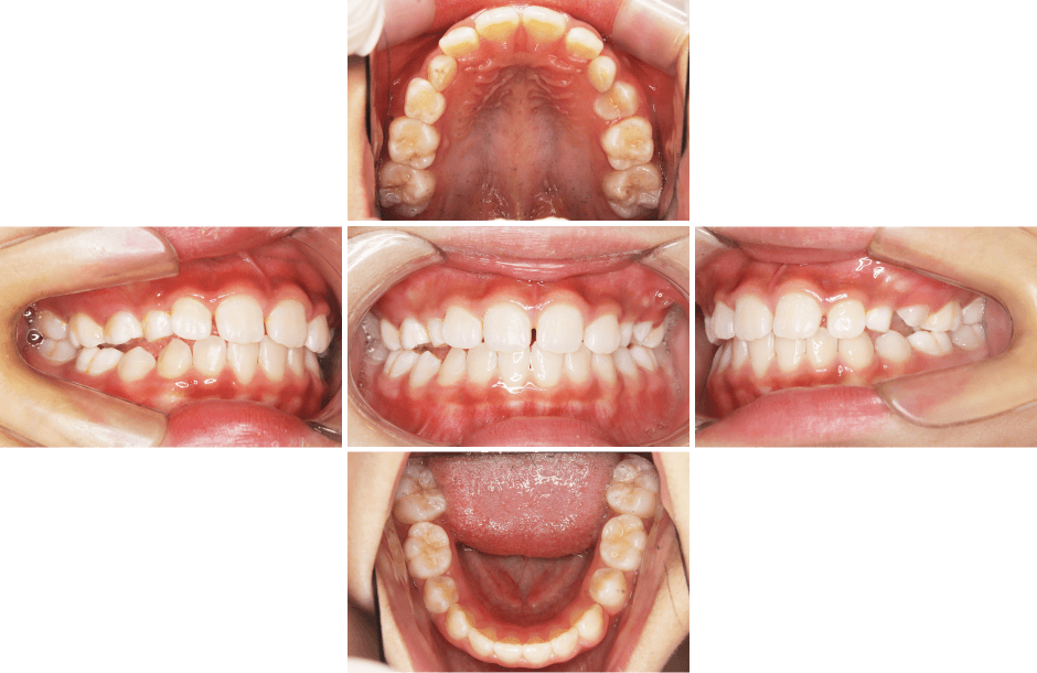
症例②
Before

After

| 主訴 | 他院で矯正が必要と言われ、ワイヤー矯正と言われた。 |
|---|---|
| 治療内容 | マイオブレース 筋機能アクティビティ |
| 年齢 | 9歳1ヶ月 |
| 治療期間、回数 | 1年11ヶ月 19回 |
| 費用 | 約495,000円(税込) |
| リスク、副作用 | お子さんが正しくマウスピースを装着できなかったり、癖を治すアクティビティを行わないと、ほとんど効果が出ない |
| 担当医 | 石川 健 |
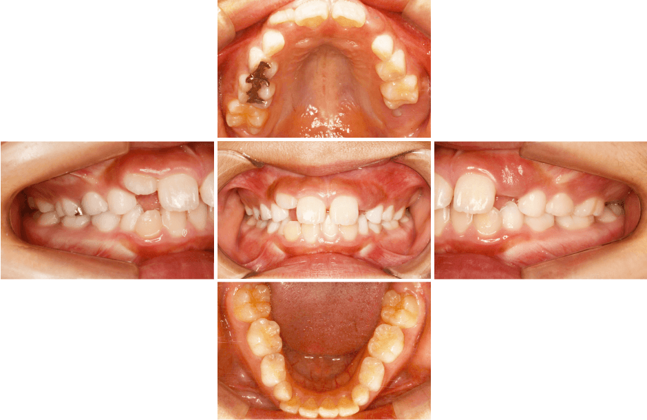
症例③
Before

After

| 主訴 | 下の歯が凸凹になって生えている |
|---|---|
| 治療内容 | マイオブレース 筋機能アクティビティ |
| 年齢 | 7歳8ヶ月 |
| 治療期間、回数 | 2年6ヶ月 18回 |
| 費用 | 約495,000円(税込) |
| リスク、副作用 | お子さんが正しくマウスピースを装着できなかったり、癖を治すアクティビティを行わないと、ほとんど効果が出ない |
| 担当医 | 石川 健 |
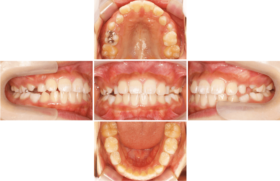
症例④
Before

After

| 主訴 | ワイヤー矯正の負担を軽くしたい |
|---|---|
| 治療内容 | マイオブレース 筋機能アクティビティ |
| 年齢 | 10歳10ヶ月 |
| 治療期間、回数 | 2年 15回 |
| 費用 | 約495,000円(税込) |
| リスク、副作用 | お子さんが正しくマウスピースを装着できなかったり、癖を治すアクティビティを行わないと、ほとんど効果が出ない |
| 担当医 | 石川 健 |
